審美歯科(セラミック/ジルコニア治療・ホワイトニング)
審美歯科(セラミック/ジルコニア治療・ホワイトニング)
- 美しい見た目のセラミック治療
- ホームホワイトニング
- 定期的なメンテナンス
自信あふれる、輝く笑顔のために

「笑った時に見える銀歯が気になる」
「歯の色が黄ばんでいるのが悩み…」
「もっと自然で美しい口元になりたい」
お口元の見た目に関するお悩みは、ご本人にとっては非常に切実なものです。
歯の色や形、歯並びなどが気になって、人前で思い切り笑えなかったり、つい口元を手で隠してしまったり…そんな経験はございませんか。
審美歯科は、そのようなお口元の見た目に関するお悩みを解決し、歯本来の白さや、顔全体のバランスと調和のとれた美しい口元を実現することを目的とした歯科治療の分野です。
しかし、審美歯科は単に見た目をきれいにするだけではありません。
適切な材料を選び、精密な治療を行うことで、歯が持つ本来の機能(しっかり噛む、話すなど)を回復・向上させることはもちろん、虫歯や歯周病になりにくい健康的な口内環境を作ることも重要な目的としています。
私たち、まきの歯科医院では、患者様一人ひとりのご希望を丁寧にお伺いし、見た目の美しさだけでなく、長期的なお口の健康と機能性も考慮に入れた、その方にとって最善と考えられる審美歯科治療をご提案いたします。
安城市にお住まいの皆様が、自信を持って輝く笑顔で毎日を過ごせるよう、私たちがそのお手伝いをさせていただきます。
審美歯科で目指すもの ~美しさと健康の両立~
審美歯科とは、歯や歯ぐきの色や形、歯並びなど、お口周りの「美しさ」に焦点を当てた歯科治療全般を指します。
具体的には、歯を白くするホワイトニング、歯の欠損や変色を補うセラミックなどの詰め物・被せ物、歯並びを整える矯正歯科との連携などが含まれます。
美しさだけではない、審美歯科の目的
審美歯科治療を受けることで、様々なメリットが期待できます。

- 見た目の改善による心理的な効果
コンプレックスが解消されることで、自分に自信が持てるようになり、笑顔が増え、気持ちも明るく前向きになります。人とのコミュニケーションもより楽しめるようになるでしょう。 - 機能性の回復・向上
見た目だけでなく、適切な噛み合わせや歯の形態を回復することで、しっかりと物を噛むことができ、発音なども改善されることがあります。 - 虫歯・歯周病リスクの低減
精度の高いセラミックの詰め物・被せ物は、歯との間に隙間ができにくく、表面も滑らかなため、汚れ(プラーク)が付着しにくいという特徴があります。これにより、二次的な虫歯(治療した歯が再び虫歯になること)や歯周病のリスクを減らすことができます。 - 長期的な健康維持への
美しく機能的な口元は、適切なセルフケアを継続するモチベーションにも繋がります。審美歯科を通じて、ご自身の歯への関心を高め、長期的な健康維持を目指しましょう。
保険診療と自費診療について
審美歯科治療の多くは、健康保険適用外の自費診療となります。
保険診療は、病気を治すための「必要最低限の機能回復」を目的としており、使用できる材料や治療法に制限があります。
一方、自費診療となる審美歯科では、材料や治療法の選択肢が広がり、より患者様のご希望に沿った、「美しさ」「快適さ」「耐久性」「体への優しさ」などを追求することが可能になります。
天然歯のような輝きを取り戻す【セラミック治療】

審美歯科治療の中でも、特に代表的なものが「セラミック」を用いた治療です。
セラミックとは、陶材(焼き物)の一種で、その美しさや機能性から、歯科治療において非常に優れた材料として広く用いられています。
セラミック治療の様々なメリット
セラミックには、保険診療で用いられる金属やプラスチック(レジン)にはない、多くの優れた特徴があります。
- 自然で美しい見た目
セラミックの最大の魅力は、なんと言っても天然の歯に近い色調と透明感を再現できることです。患者様ご自身の歯の色に合わせて細かく色味を調整できるため、治療した歯が周りの歯と自然に調和し、どこを治療したのか分からないほど美しい仕上がりを実現できます。また、保険の白い詰め物(レジン)のように時間が経っても変色したり、ツヤが失われたりすることがほとんどありません。金属を使用しないため、金属イオンが溶け出して歯ぐきが黒ずむ「メタルタトゥー」の心配もありません。 - 体に優しい素材
セラミックは、金属を一切含まないため、金属アレルギーをお持ちの方でも安心して使用できる、体に非常に優しい素材です。生体親和性(体との馴染みやすさ)が高く、アレルギー反応を起こすリスクは極めて低いと言われています。 - 汚れが付きにくく、衛生的
セラミックの表面は非常に滑らかで、陶器のお茶碗のように、汚れ(歯垢やステイン)が付着しにくいという性質があります。そのため、毎日の歯磨きで清潔な状態を保ちやすく、治療した歯の周りから再び虫歯になったり(二次カリエス)、歯周病になったりするリスクを低く抑えることができます。 - 高い耐久性
セラミックは、天然歯に近い硬さを持つ丈夫な素材です。適切な噛み合わせ調整と、日々の丁寧なケア、そして定期的なメンテナンスを行えば、長期間にわたってその美しさと機能を維持することが可能です。(ただし、非常に硬いものを噛んだり、強い衝撃が加わったりすると割れる可能性はあります)
当院で扱う主なセラミック治療
当院では、患者様のお口の状態やご希望に合わせて、主に以下のようなセラミック治療を行っています。
セラミックインレー(詰め物)

奥歯などの比較的虫歯が小さい場合に、削った部分を補うための詰め物です。
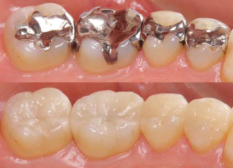
保険適用の銀歯は、見た目が目立つだけでなく、金属アレルギーの原因になったり、歯との間に隙間ができやすかったりするデメリットがあります。
セラミックインレーなら、歯の色に合わせて作製できるため見た目が自然で、歯と精密に接着するため隙間からの虫歯再発リスクも低減できます。
すでに銀歯が入っている箇所をセラミックインレーに交換することも可能です。
セラミッククラウン(被せ物)

虫歯が大きかったり、歯の神経を取る治療(根管治療)をしたりして、歯を大きく削る必要がある場合に、歯全体をすっぽりと覆う被せ物です。
保険適用の前歯の被せ物(硬質レジン前装冠)は裏側が金属で見えたり、表面のプラスチックが変色したりすることがあります。
また、奥歯の銀歯は見た目が気になる方も多いでしょう。
セラミッククラウン(特にオールセラミッククラウン)は、金属を一切使用せず、すべてセラミックで作られているため、天然歯のような透明感と美しい色調を再現でき、変色の心配もありません。強度や審美性に優れた「ジルコニア」というセラミック素材を用いたクラウンもあり、奥歯など強い力がかかる部位にも安心して使用できます。(ジルコニアは当院の強みの一つです)
セラミック治療の注意点
多くのメリットがあるセラミック治療ですが、以下の点にご留意ください。
- 自費診療となります
セラミック治療は、基本的に健康保険が適用されません。 - 割れる可能性
非常に丈夫な素材ですが、強い衝撃や、歯ぎしり・食いしばりなどによって、まれに割れたり欠けたりすることがあります。(ナイトガードなどで予防することも可能です) - 定期的なメンテナンスが必要
セラミック自体は虫歯になりませんが、装着しているご自身の歯や歯ぐきは、ケアを怠ると虫歯や歯周病になる可能性があります。治療後も定期的に検診とクリーニングを受け、良好な状態を維持することが大切です。
歯を削らずに白く【ホワイトニング】

「歯の色が黄ばんでいるのが気になる」「もっと歯を白くして、笑顔に自信を持ちたい」そのようなご希望をお持ちの方には、「ホワイトニング」という方法があります。
ホワイトニングは、歯の表面の汚れを落とすクリーニングとは異なり、専用の薬剤を使って、歯の内部にある色素を分解し、歯そのものを白く明るくしていく処置です。
歯を削る必要がないため、歯への負担が少ないのが大きな特徴です。
歯が黄ばむ・くすむ原因

歯の色は、様々な要因によって変化します。
- 加齢
年齢とともに、歯の表面のエナメル質が薄くなり、内側にある黄色味を帯びた象牙質の色が透けて見えるようになります。 - 飲食物による着色
コーヒー、紅茶、赤ワイン、カレー、チョコレートなど、色の濃い飲食物を日常的に摂取していると、その色素が歯の表面や内部に沈着しやすくなります。 - 喫煙
タバコに含まれるヤニ(タール)は、歯の表面に強く付着し、黄ばみや黒ずみの原因となります。 - その他
神経を失った歯の変色や、特定の薬剤の影響、歯の発育期の問題なども変色の原因となることがあります。(ホワイトニングの効果が出にくい場合もあります)
当院のホワイトニング
ホームホワイトニング

当院では、患者様にご自宅で行っていただく「ホームホワイトニング」をご用意しております。
歯科医院で作製した患者様専用のマウストレー(マウスピース)に、ご自身で低濃度のホワイトニングジェルを注入し、毎日一定時間(通常1日2時間程度)、歯に装着していただく方法です。
ホームホワイトニングの流れ
- 診査・カウンセリング
まず、お口の中を診査し、ホワイトニングが可能かどうかを確認します。(虫歯や歯周病がある場合は、そちらの治療を優先します)ホワイトニングの方法や効果、注意点などをご説明します。 - 歯のクリーニング
ホワイトニング効果を高めるために、歯の表面の汚れや着色を除去します。 - マウストレーの作製
患者様のお口にぴったり合った専用のマウストレーを作製するために、歯型を取ります。(当院ではiTeroスキャンも可能です) - ホワイトニング開始
完成したマウストレーとホワイトニングジェルをお渡しし、ご自宅での使用方法や注意点などを詳しくご説明します。その後、ご自身のペースでホワイトニングを開始していただきます。通常、約2週間程度で効果を実感される方が多いです。
ホームホワイトニングのメリット
- ご自身のペースで行える
ご自宅で、お好きな時間にホワイトニングを行うことができます。日中お忙しい方でも、夜間など空いた時間を利用して無理なく続けられます。 - 後戻りしにくい
歯科医院で行うオフィスホワイトニングに比べて、薬剤の濃度が低く、時間をかけてゆっくりと白くしていくため、色の後戻りが比較的少ない傾向があります。白さが長持ちしやすいと言えます。 - 自然な白さを目指せる
徐々に白くなっていくため、ご自身の希望する白さで調整しやすく、より自然な仕上がりを目指せます。
矯正治療後のホワイトニングにも

矯正治療で歯並びがきれいになった後に、「さらに歯の色も白くして、もっと美しい口元にしたい」と希望される患者様も多くいらっしゃいます。
矯正治療後の保定期間に使用するマウスピース型のリテーナーを作製する際に、その型を利用してホワイトニング用のマウストレーを同時に作製することも可能です。(ご希望の場合は、事前にご相談ください)きれいになった歯並びを、より一層輝かせることができます。
ホワイトニングの注意点
- 効果には個人差があります
元の歯の色や質によって、白くなりやすさには個人差があります。 - 人工物は白くなりません
ホワイトニングはご自身の天然歯にのみ効果があります。詰め物や被せ物などの人工歯の色は変わりません。もし、それらの色が気になる場合は、ホワイトニング後に色を合わせて作り直すことを検討します。 - 一時的に歯がしみることも
ホワイトニング期間中に、一時的に歯がしみたり、軽い痛みを感じたりすることがあります。通常は一時的なもので、中断すれば治まりますが、症状が続く場合はご相談ください。 - 効果を持続させるために
ホワイトニング後も、色の濃い飲食物を控えたり、定期的に歯科医院でクリーニングを受けたりすることで、白さを長持ちさせることができます。
自信の笑顔は、お口の健康と美しさから

審美歯科治療は、お口元のコンプレックスを解消し、患者様の笑顔をより一層輝かせ、日々の生活に自信と喜びをもたらす可能性を秘めています。
白く美しい歯、天然歯と見分けがつかないほど自然な詰め物や被せ物…それは、機能的な側面だけでなく、皆様の心を豊かにする力を持っていると私たちは信じています。
まきの歯科医院では、長年の経験と、セラミックやホワイトニングに関する知識・技術をもって、患者様の「きれいになりたい」という想いに真摯に向き合います。
もし、「銀歯が気になる」「歯の色をもっと白くしたい」「口元の見た目を良くしたい」といったお悩みやご希望がございましたら、どんなことでも構いません。
どうぞ、お気軽に私たちにご相談ください。
皆様が、心からの笑顔で、自信を持って毎日を過ごせるよう、精一杯お手伝いさせていただきます。